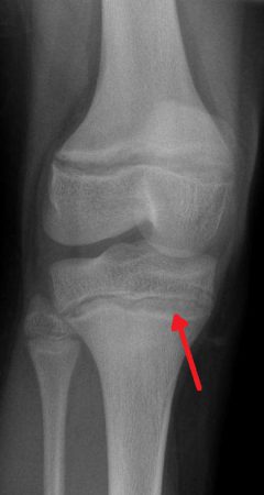
Zagęszczone (sklerotyczne) linie przynasadowe spowodowane zatruciem ołowiem |
Lubisz czytać nasze historie?
Na historia.org.pl codziennie opowiadamy dzieje Polski i świata tak, jak na to zasługują - rzetelnie, pasjonująco, z szacunkiem do faktów. Ale żadna opowieść nie przetrwa bez tych, którzy chcą jej słuchać i ją wspierać.
Postaw nam wirtualną kawę - to darowizna, która realnie pomaga nam działać dalej. To dzięki takim gestom możemy nadal pisać o zwycięstwach, bohaterach i wydarzeniach, które zbudowały naszą tożsamość.


